Ένα μωρό γεννήθηκε κυοφορώντας δίδυμα περίπου 10 εβδομάδων στο Χονγκ Κόνγκ, με τους γιατρούς να κάνουν λόγο για μια ανεξήγητη ανωμαλία (Pics)
Ένα νεογέννητο κοριτσάκι από την Κίνα γεννήθηκε κυοφορώντας δίδυμα και υπεβλήθη σε χειρουργική επέμβαση για την αφαίρεσή τους.
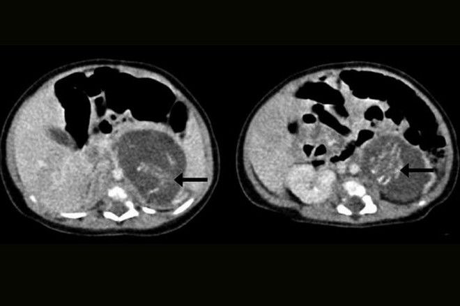
Το μωρό που γεννήθηκε στο Χονγκ Γκογκ, στο νοσοκομείο Queen Elizabeth, κυοφορούσε δυο έμβρυα, το ένα 14.2 γραμμαρίων και το άλλο 9.3 γραμμαρίων. Οι γιατροί αναφέρουν πως πρόκειται για μια πολύ σπάνια περίπτωση και πως τα δυο έμβρυα που εντοπίστηκαν στην κοιλιακή χώρα του νεογέννητου είχαν καταφέρει να αναπτυχθούν μερικώς, καθώς είχαν πόδια, χέρια και πλευρά.
Το κοριτσάκι υποβλήθηκε σε πολύωρη επέμβαση, που στέφθηκε με επιτυχία και κατάφερε να πάρει εξιτήριο από το νοσοκομείο μετά από οκτώ ημέρες, ενώ το περιστατικό καταγράφηκε στο επιστημονικό ιατρικό περιοδικό Hong Kong Medical Journal.
Οι ειδικοί αναφέρουν πως πρόκειται για μια εξαιρετικά σπάνια υπόθεση, καθώς έχουν αναφερθεί, μόλις, 200 αντίστοιχες περιπτώσεις, δηλαδή μια για 500.000 γεννήσεις.
Οι γιατροί διευκρινίζουν πως είναι αδύνατο να εντοπιστεί το πρόβλημα όταν το μωρό κυοφορείται από τη μητέρα, λόγω του μεγέθους του κυρίου εμβρύου, αλλά και αυτών που αυτό κυοφορεί. “Από τη στιγμή που είναι αδύνατο το έμβρυο να έχει γονιμοποιηθεί από μόνο του, το πρόβλημα προέρχεται από τους γονείς, φαίνεται πως τα άλλα δυο γονιμοποιημένα ωάρια κατέληξαν στο λάθος μέρος”, επισημαίνουν οι γιατροί.
Όπως προκύπτει από τις μελέτες, που βρίσκονται σε πολύ πρώιμο στάδιο, τα άλλα δυο γονιμοποιημένα έμβρυα που κατέληξαν με κάποιο τρόπο στο εσωτερικό του τρίτου που κατάφερε να αναπτυχθεί περισσότερο.
Οι ειδικοί, ωστόσο, δεν μπορούν να διευκρινίσουν απόλυτα τα αίτια της συγκεκριμένης ανωμαλίας, εικάζοντας πως μπορεί να οφείλεται σε μια μορφή καρκίνου ή να συνδέεται με τις πολλές αποβολές που μπορεί να είχε η μητέρα πριν από τη σύλληψη του εμβρύου.
Πηγή: Mirror
Ακολουθήστε το Cretanmagazine στο Google News και στο Facebook


































